before and after

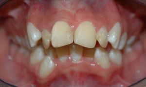
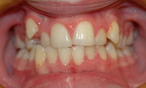
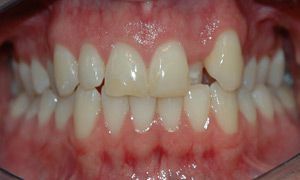
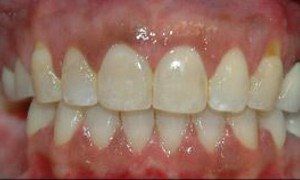
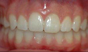
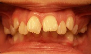
CROWDING

Before

After

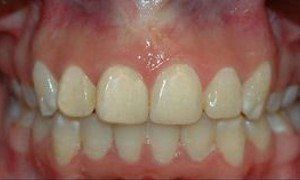
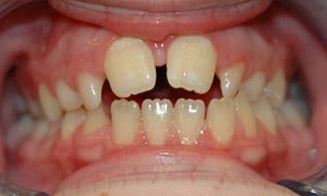
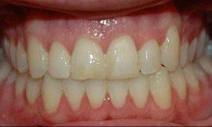
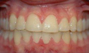
EXTRACTION

Before
After

OPENBITE

Before
After

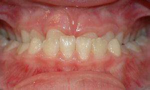
OVERBITE & CROWDING

Before
After

UNDERBITE

Before
After

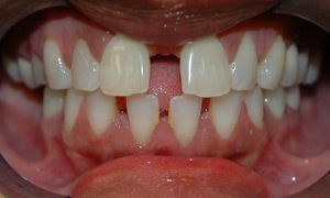
SPACING

Before
After

ANTERIOR CROSS BITE

Before
After